Use of this site and material contained on its pages is for EDUCATIONAL USE ONLY.
 
Ceptic Online - View Patient Profiles

Case, Justin
MRN: 310718 Room: 816 DOB: 8/11/1965 Age: 60 Gender: Male Allergies: penicillins, cephalosporins (rash to both)
 Admit Notes
 Clinical Notes
 Vitals
 Labs, Cultures, Imaging
 Clinical Calculators
 MAR
 Current Orders
 Home Med List
 Med Reconciliation
 Discharge Planning
Setting Medical ICU (MICU)
Scenario Patient came in 2 days ago for elective surgery. Meds were brought from home due to outpatient status. He had planned to go home yesterday, but he developed fever and started having shortness of breath so was kept another night for observation. Patient was transferred to ICU, and Pharmacy was called to do med rec so home meds can be sent from hospital pharmacy.
Admission note taken on 12/16/25
CC "This cough is getting worse, and I can’t catch my breath."
HPI Patient’s surgery was successful, recovery progressing without complications, and he was preparing to discharge home when he developed respiratory distress this morning. A rapid response was called and patient was transferred to ICU and intubated. Blood and sputum cultures were collected.
PMH
  • CAD s/p MI 3 yrs ago, no surgical intervention
Social
History
  • Lives with wife
  • Works in construction
  • Smokes 1 ppd x 40 yr
  • Denies alcohol or illicit drug use
Family
History
  • Mother—alive at age 89, heart disease
  • Father—died 2 years ago at age 88, heart disease
Vaccine
History
  • Not on file
Surgical
History
  • None
Physical Exam
  • HEENT: PERRLA; moist mucous membranes
  • Neck: Supple, no lymphadenopathy
  • Lungs: Scattered rhonchi with expiratory wheezing, diffuse bilat crackles, decreased breath sounds bilat bases; right IJ port-a-cath intact without erythema
  • Heart: Tachycardic with regular rhythm; no MRG
  • Abdomen: Soft, mildly distended, hypoactive BS, large liver palpated in RUQ, ileostomy in RLQ is pink and functioning, surgical incision is C/D/L
  • Extremities: 1+ pitting edema, 2+ pulses bilat, good peripheral perfusion
  • Neurological: Patient was A & O x3; CN II-XII intact; patient is currently intubated and sedated
Clinical Laboratory Report
 
Test Name 12/16/25 Range
Sodium (Na+) 141 136-145 mEq/L
Potassium (K+) 5.1 3.5-5 mEq/L
Chloride (Cl-) 110 98-106 mEq/L
Bicarbonate (HCO3-) 19 23-28 mEq/L
Urea nitrogen (BUN) 34 8-20 mg/dL
Creatinine 1.1 0.5-1.3 mg/dL
Glucose 148 70-115 mg/dL
Hemoglobin A1c 6.9 5.3-7.5 %
Calcium,Total 9.2 8.6-10.2 mg/dL
Phosphate 4.1 3-4.5 mg/dL
Magnesium 2.2 1.6-2.6 mEq/L
Protein, total 6.7 5.5-9 g/dL
Albumin 3.9 3.5-5.5 g/dL
Aminotransferase,aspartate (AST) 22 10-40 units/L
Aminotransferase,alanine (ALT) 31 10-40 units/L
Lactic dehydrogenase (LDH) 78 80-225 units/L
Alkaline phosphatase 99 30-120 units/L
Bilirubin, Total 0.4 0.3-1 mg/dL
Leukocytes (WBC) 17 4.5-11 x103/mcL
Red blood cells (RBC), Male3.93.8-5.1 x108/mcL
Hemoglobin, Male12.414-18 g/dL
Hematocrit, Male3742-50 %
Mean corpuscular hemoglobin (MCH) 32 27-33 picogram
Mean corpuscular volume (MCV) 82 76-100 mcm3
Platelets 584 150-450 x103/mcL
International normalized ratio (INR) 0.9 0.8-1.2
Prothrombin time (PT) 9.9 9.5-11.3 sec
Partial thromboplastin time,activated (aPTT) 31 25-35 sec

 
 
Additional Labs:
  • None
Cultures: On Admission (today)
  • Blood culture x2 pending with results expected in 5 days
  • Sputum culture pending with results expected in 2 days
Sputum Gram stain (today)
  • >25 WBC/hpf
  • <10 epithelial cells/hpf
  • 1+ (few) gram + cocci
  • 3+ (many) gram - rods
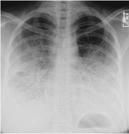
Imaging Studies:
  • Chest X-ray shows new bilateral opacities in left upper lobe and right middle lobe; likely infectious process. Increased alveolar infiltrates in the perihilar location and involving lower lobes.
  • CT shows no evidence of pulmonary embolism. Heart size normal. Small mediastinal and axillary lymph nodes; none are pathologically enlarged. There are small bilateral pleural effusions with adjacent atelectasis. There are pleural-based airspace opacities bilaterally consistent with acute infectious process.
Vital Sign 12/16/25
08:55
Height (cm) 168
Weight (kg) 70
Body Temperature (°C) 38.5
Blood Pressure (mmHg) 142 / 93
Heart Rate (bpm) 130
Respiratory Rate (bpm) 43
Oxygen Saturation (%) 87
Current Orders
 
USE
START DATE
STOP DATE
NOTES

 

 

USE
START DATE
STOP DATE
NOTES

 

 

USE
START DATE
STOP DATE
NOTES

 

 

USE
START DATE
STOP DATE
NOTES

 

 

USE
START DATE
STOP DATE
NOTES

 

 

USE
START DATE
STOP DATE
NOTES

 

 

USE
START DATE
STOP DATE
NOTES

 

 

USE
START DATE
STOP DATE
NOTES

 

 

VOL
RATE
USE
START DATE
STOP DATE
NOTES

 

 

USE
START DATE
STOP DATE
NOTES

 

 

USE
START DATE
STOP DATE
NOTES

 

 

USE
START DATE
STOP DATE
NOTES

 

 

Medication
History
  • Not on file.

 
Home Medication List: verified by pharmacy on admit (12/16/25)
 
Patient Name: Case, Justin
Date of Birth: 8/11/1965
Room#: 816
Allergies:
Immunization History:
Community Rx Info:
 
Rx Insurance:
Social History:
Additional Notes:
DRUG
STRENGTH
DF
STRENGTH
ROUTE
FREQ
PRN?
LAST
DOSE
(date/time)
ADVERSE
EFFECTS
ADHERENCE
NOTES
MED REC
ACTION
MED REC
REASON
Action Key:
C = Continue, D = Discontinue*, H = Hold*, M = Modify*
*must provide reason

                    
Medication 12/16/25
Albuterol/ipratropium  2.5/0.5 mg per 3 mL  via neb  q 4 Hr while awake05:45
09:34
13:46
17:28
Propofol  1% (10 mg/mL)  IV  continuous infusion07:20
Piperacillin/tazobactam  3.375 g  IV  QID05:17
11:27
17:47
Levofloxacin  750 mg  IV  QD
Vancomycin  1 g  IV  BID09:12
Methylprednisolone  125 mg  IV  QID
Enoxaparin  40 mg  SC  QD08:50
Pantoprazole  20 mg  IV  QD08:37
Dextrose 5%/Sod. Chloride 0.45%    IV  continuous
Rate: 50 mL/Hr
06:13
Acetaminophen  650 mg  PR  q4Hr  PRN
PRN fever <100.5℉ or mild pain (1-4)
Ibuprofen  400 mg    q4Hr  PRN
PRN fever >100.5℉ or moderate pain (5-6)
06:44
Hydromorphone  1 mg  IV  q4Hr  PRN
PRN severe pain (7-10)
Clinical Notes
 
                    
Medication Discharge Orders
 
Hospital Medications
Medication Instructions Comments Continue Modify Discontinue New Rx sent

 
Previous Home Medications
Medication Instructions Comments Continue Modify Discontinue New Rx sent

 
 
Discharge Planning - Medication List and Instructions
 
Patient Name:
Admission Date: Discharge Date: Service:
Principle Diagnosis on Admission:
Secondary Diagnosis:
Allergies:

 
Medications ADDED this visit:
(begin taking these)
Medications CHANGED this visit:
(modify what you were taking)
Medications STOPPED this visit:
(stop taking these)

 
Final Discharge Medication List
Medication/Route/Dosage/Frequency/Duration Comments Morning Afternoon Evening Bedtime
As Needed Medications

 
          
Medication Reconciliation - Finalized Medication List
 
Patient Name: Case, Justin Date of Birth: 8/11/1965 Room: 816

 
Medication (name/strength) Dose Route Frequency Notes